Pathology Case Challenge

PIPWプログラムについて

PIPWは、 CAP(米国病理医協会)が提供をしているデジタル画像版外部精度評価プログラムで、診断概要、病歴、検査所見、標本画像など、症例に関する情報が提示されます。1回配布につき10症例あり、各症例を回答すると、その症例に関連する 3つの選択式の演習問題が表示されます。 注: DigitalScope® は、Microsoft Internet Explorer 11.0 (IE 9 および 10 の限定サポート) 以降、または FireFox 4.0 以降、または Safari 3 または最新の Google Chrome バージョンでサポートされています。

右記のPIPW画像およびその説明(下記)はサンプルです。実際に拡大、色調補正、症例情報等が出来る画像は下方にある「サンプル症例」をご覧ください。
サンプル症例の使用方法はこちら

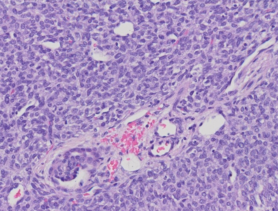
Kidney

A 1-month-old boy presents with an abdominal mass. Imaging demonstrates a 10 cm solid mass centered in the right kidney. A nephrectomy is performed and shows an unencapsulated mass with tan cut surfaces and focal hemorrhage. The mass does not extend beyond the renal capsule. Immunohistochemical staining is positive for SMA and negative for desmin, WT1, and CD34. INI1 immunohistochemical expression is retained.
Page
Top